Bệnh nhiệt miệng hay còn gọi là aphthous là một bệnh thường gặp, có đến khoảng 20% dân số bị nhiệt miệng thường xuyên. Bệnh có nhiều thể khác nhau nhưng triệu chứng thường bắt đầu với cảm giác ngứa ran hoặc nóng tại vùng sắp bị, vài ngày tiến triển thành đốm đỏ hay vết sưng sau đó bị loét ra. Các vết loét do aphthous thường có hình bầu dục màu trắng hay màu vàng, có biên giới viêm đỏ, rất đau đớn. Đặc biệt nếu không được chăm sóc đúng cách dể dẫn đến viêm cấp, tấy đỏ, rất đau, thậm chí sốt cao, nổi hạch góc hàm, ăn uống rất vất vả.

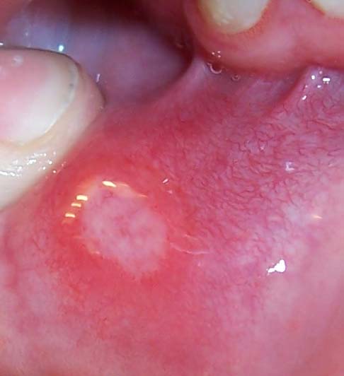
Vết loét miệng trên bề mặt lợi. (Ảnh: Internet)
1. Nguyên nhân gây bệnh
Nguyên nhân chính xác chưa được biết rõ, nhiều tác giả cho rằng đây là viêm miệng do virus, các nhà miễn dịch cho rằng nhiệt miệng thường liên quan đến tình trạng suy giảm miễn dịch ở vùng niêm mạc miệng và lưỡi.
Một số nguyên nhân thường gặp:
2. Biểu hiện của bệnh
Biểu hiện của bệnh là: trong niêm mạc miệng xuất hiện một hoặc nhiều đốm trắng to 1 – 2 mm, đốm trắng to dần hơi mọng nước, vài ngày sau đồng loạt vỡ ra tạo thành vết loét. Vết loét to dần, có khi tới 10 mm làm ảnh hưởng nhiều đến ăn uống sinh hoạt và giao tiếp.
Biểu hiện tại chỗ: thường là các triệu chứng viêm nhiễm, sưng nóng đỏ đau, lở loét rất khó chịu nhất là khi nhai nuốt, ăn uống, có thể là những áp xe ở nông như áp xe dưới lưỡi, dưới niêm mạc, áp xe tiền đình trên hay dưới, nhẹ hơn là những vết loét ở lưỡi và niêm mạc miệng, khi viêm cấp thường tấy đỏ và rất đau, thậm chí sốt cao, nổi hạch góc hàm, ăn uống khó khăn, khi chuyển sang màu trắng và đỡ đau là lúc bệnh bắt đầu giảm.
3. Cách chữa trị
Thông thường những loại viêm loét nhẹ chỉ cần uống kháng sinh, vệ sinh răng miệng, giảm đau, chống dị ứng, tăng cường sức đề kháng, bổ sung sinh tố nhóm B là khỏi trong vòng 10 ngày. Nhưng đôi khi có những nhiễm trùng nặng như áp xe vùng miệng sâu, viêm tấy lan tỏa hay gặp ở những vùng dưới lưỡi, dưới hàm, bên hầu kèm theo toàn thân suy nhược, nhiễm khuẩn nặng thì cần phải cấy máu nếu nghi ngờ nhiễm khuẩn huyết và phải làm kháng sinh đồ.
Trường hợp lở loét tái phát nhiều lần hoặc kéo dài không khỏi có kèm theo các triệu chứng toàn thân khác như mệt mỏi, gầy (sút cân), biếng ăn, có những biến chứng tại chỗ như sưng thành một đám cứng không có giới hạn, chảy máu hay có những dấu hiệu của nhiễm trùng nặng như môi khô, lưỡi bẩn, mạch nhanh, sốt cao thì cần đi khám để xác định số lượng, vị trí, kích thước, mật độ màu sắc, bờ của tổn thương liên quan đến tổ chức ở dưới, tính chất xuất tiết của tổn thương, cần thiết sẽ sinh thiết làm xét nghiệm tế bào học để chẩn đoán.
Một số cách chữa nhiệt miệng tại gia:
4. Các biện pháp phòng ngừa
Nhiệt miệng tuy gây đau đớn, khó chịu nhưng cách phòng ngừa không khó. Để ngăn ngừa nguy cơ nhiệt miệng, bạn cần tránh làm tổn thương niêm mạc miệng khi đánh răng hay ăn uống, làm việc và nghỉ ngơi điều độ để tránh strees. Ngoài ra, cần vệ sinh răng miệng tốt để tránh viêm nhiễm niêm mạc miệng, họng. Với trẻ em, không nên để thức khuya, ăn uống tùy tiện không theo giờ giấc, hướng dẫn bé đánh răng đúng cách để không làm rách niêm mạc miệng. Nên tập cho bé thói quen súc miệng nước muối ấm mỗi ngày.
Trong những ngày nóng, dù có cảm thấy cơ thể mệt mỏi, ăn uống không ngon miệng cũng cần phải đảm bảo đủ các dưỡng chất cần thiết cho cơ thể. Nên ăn các món luộc, rau, củ, quả và trái cây... Hạn chế ăn đồ xào, cay nóng, nhiều dầu mỡ, uống nhiều nước, bổ sung vitamin bằng các loại rau quả tươi. Nếu bị nhiệt miệng nặng, gây đau đớn nhiều hoặc tái phát nhiều lần cần phải đến cơ sở y tế để khám và điều trị dứt điểm.
Súc miệng bằng nước muối ấm 3 lần/ngày có thể chữa được nhiệt miệng. Chú ý là nước muối nhạt (độ mặn tương đương nước mắt hoặc hơn một chút). Súc miệng bằng nước của một trong những thảo mộc tự nhiên như nước lô hội, nước chiết xuất từ hạt nho, nước mận hoặc dầu trà giúp nhanh khỏi nhiệt miệng. Không dùng nước súc miệng có cồn, kích ứng mạnh./.
(Nguồn: Sưu tầm và tổng hợp)